Otoscopes and endoscopes, essential tools for ENTs, audiologists, and general practitioners, are on the receiving end of a modern twist thanks to smartphone technology. Aimed at adapting smartphones for otoscopic and endoscopic imaging, these reimagined devices might just change the way we examine our patients’ ears - or at least the technology we use to do it with.
Unlike traditional systems for video imaging, these smartphone-compatible devices are affordable and mobile enough to attract mass appeal. Captured images can be instantly shared online, effectively overcoming some of the geographical and logistical barriers faced by clinicians working in remote areas or in isolation. Potential applications of the technology include remote consultations, monitoring patient progress, and improving education for patients and future clinicians.
Endoscope-i

Figure 1: Endoscope-i.
The award-winning endoscope-i is an endoscope adapter designed for use with the iPhone 4s/5/5s. The adapter, which can be coupled with standard 32mm endoscopic eyepieces, allows clinicians to capitalise on the benefits of mobile technology without sacrificing the superior optics available with an endoscope. The endoscope-i is impressively compact and budget-friendly compared to other video endoscopic systems on the market. Clinicians around the world have taken notice and the technology is being applied broadly: a review of the user-submitted videos posted to the company’s Facebook page demonstrates that the endoscope-i is being used imaginatively within ENT (otoendoscopy, laryngoscopy, nasoendoscopy) and beyond (veterinary medicine, anaesthetics).
Using an ‘Apple TV’, the images / videos can be mirrored to an external screen, no expensive stack required. The simplicity of the endoscope-i system allowed me to capture stunning images within moments of outfitting my phone with the adapter. No patient information is stored through the app; the images / videos are labelled only with the date and time they were collected. From there, the images can be transferred to the patient’s Electronic Health Record via a secure server. Clinicians with access to a traditional endoscope eyepiece and light source need only purchase the app (multiple price points; available through the Apple App Store) and the adapter (£79) to get started. Alternatively, the entire otoendoscopic system (otoendoscope, light source, adapter, case) can be purchased as a bundle on the website for £999.
Android users take note: the ClearScope Endoscope Adapter, currently in BETA release, claims to be compatible with most smartphones. Details are available at http://www.clearwaterclinical.com/clearscope
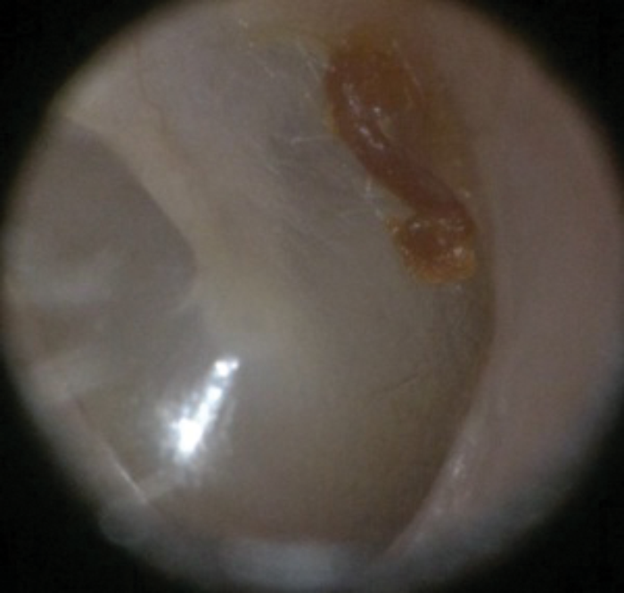
CellScope Oto

Figure 2: CellScope Oto.
With an inventive design and user-friendly interface, the CellScope Oto is an exciting alternative to the traditional otoscope. Equipped with a magnifying optical attachment that is secured in front of the phone’s camera lens by way of a snap-on case, the Oto cleverly circumvents the need for an external light source by using the phone’s own camera flash. The optical attachment is compatible with standard otoscope specula, making it easy to incorporate the Oto alongside more traditional devices.
The accompanying app, available free from the Apple App Store, can then be used to collect, store, and retrieve otoscopic videos and images. In practice, transitioning to the Oto was surprisingly easy, though it did take some ‘trial and-error’ to optimise the picture quality. Before long, I was capturing some decidedly impressive otoscopic images. The Oto app allows you to zoom, focus and adjust for variables such as brightness and camera mode (still image or video). The information collected is periodically transferred to the online Physician’s Portal, ensuring that your data is backed up securely without depleting local storage space. Both app and website are HIPAA-compliant, but it remains the clinicians’ responsibility to ensure that these potentially identifiable data are managed appropriately. Battery drain from using the Oto was not as significant as I expected, though it will be a factor for some users.
One of the strengths of the Oto is also a limitation: the case, while handy for quickly sliding the optical attachment on and off, is only compatible with the iPhone 5/5s. Without a more universal way to secure the optical attachment, the longevity of the Oto becomes dependent on the lifespan of the phone in its current form factor. Android users are out of luck entirely, at least for now. The Oto is poised for release at some point in 2014 and will retail for $199 USD.