Laryngology continues to advance since its development as a subspecialty at the turn of the century. Rarely performed operations restricted to the surgical theatre can now be undertaken in the outpatient / office environment. This detailed article demonstrates, in a stepwise manner, how a number of these interventions can safely proceed in the awake patient.
Subglottic and tracheal stenosis are among the most challenging airway pathologies encountered in ENT practice. Although relatively uncommon, these conditions can be progressive and recurrent, carrying a risk of life-threatening airway compromise if not managed promptly. In the adult population, they commonly arise from acquired conditions (e.g. prolonged intubation or vasculitis) or can be idiopathic in nature. The primary goal of intervention is to restore and maintain airway patency while minimising any adverse impacts on voice and swallowing to improve patients’ quality of life.
Traditionally, endoscopic airway surgery is performed under general anaesthesia (GA). However, with growing advances in office-based fibreoptic technology and the availability of devices such as non-occlusive airway dilation balloon [1,2] and flexible laser fibre delivery systems, selected cases of mild-to-moderate stenosis can now be safely managed in an outpatient setting [3].
This article outlines three office-based techniques that can be used independently or in combination for subglottic and tracheal stenosis: (i) airway dilation using non-occlusive balloon (Trachealator®), (ii) laser ablation and (iii) intralesional steroid injection.
Figure 1: Two different tehcniques for topical laryngeal anaesthesia.

Transoral application of local anaesthesia to the larynx via an atomiser device (MADgicTM).

Endoscopic application of local anaesthesia with ‘dripping technique’ via an epidural catheter passed through channelled endoscope.
Patient selection
In-office airway interventions are suitable for:
- Mild to moderate stenosis: Significant airway compromise necessitates intervention under GA with anaesthetic support and airway rescue facilities.
- Stable airway status: Patients must not be in acute respiratory distress.
- Good toleration of local anaesthesia: Pre-procedural counselling is essential. Both surgical and nursing teams provide local and verbal reassurance during the procedure.
Local anaesthesia
- Nasal cavity: Co-phenylcaine spray (lidocaine hydrochloride 5% w/v and phenylephrine hydrochloride 0.5% w/v solution) provides anaesthesia and vasoconstriction. A small amount of Instillagel® - which contains lidocaine, chlorhexidine gluconate, chlorhexidine gluconate, methyl hydroxybenzoate (e218), propyl hydroxybenzoate (e216) - is applied intranasally to facilitate endoscope passage.
- Oropharynx: Xylocaine 10% spray is used to prevent the gag reflex and reduce discomfort in the pharynx during instrumentation.
- Larynx: Through an epidural catheter (16G Epidural Minipack System Three Lateral Eyes, Portex) attached to a 2.5 ml luer-locked syringe, inserted via the instrument channel (2 mm) of a video nasendoscope (VNL15-J10, Pentax Medical: total diameter 4.9 mm, length 300 mm), 1-2 ml of co-phenylcaine is dripped onto the vocal cords. The patient is instructed to sustain an ‘eee’ sound during LA ‘dripping’, allowing the topical anaesthesia to disperse around the glottis and subglottis. Alternatively, transoral application of local anaesthesia to the larynx can also be performed via a laryngotracheal mucosal atomisation device (MADgicTM) under endoscopic view, prior to an in-office airway examination.
Once adequate anaesthesia is achieved, transnasal laryngoscopy and tracheoscopy is performed to examine the airway to assess the site, length and degree of stenosis. A nurse assistant continuously monitors patient’s oxygen saturation, respiratory rate, heart rate and blood pressure.
Non-occlusive airway balloon dilation (Trachealator®)
Balloon dilation restores airway calibre by applying radial expansion forces to the stenotic segment. Conventional balloon dilation, performed under GA, fully occludes the airway during inflation and necessitates an apnoeic window.
Figure 2. Non-occlusive airway dilation balloon, Trachealator®.

(a) With a patent central lumen while inflated. This allows continuous ventilation during dilation and can be performed in the office under local anaesthesia or under general anaesthesia.

(b) A Trachealator® balloon with its proximal end attached to a pressure pump and fully inflated.
In contrast, the Trachealator® (Figure 2) is a non-occlusive airway balloon with a central lumen surrounded by multiple small peripheral balloons, allowing continuous airflow during inflation. This unique design not only enables uninterrupted dilation under GA with simultaneous ventilation but also allows airway dilation to be performed in the office setting, with the patient awake and breathing spontaneously.
Figure 3. In-office airway management with non-occlusive balloon dilation and laser ablation.

Placement of guide wire through the glottic inlet.

Advancement of balloon over the guidewire.

Inflation of non-occlusive airway balloon (Trachealator®) to subglottis and upper tracheal stenosis following laser treatment.

A view intraluminally into the non-occlusive airway balloon during inflation, which allows continuous respiration through the central lumen.
Technique (Figure 3)
- Guidewire placement: Under endoscopic guidance, the guidewire (diameter: 0.89 mm) is passed through the working channel of the endoscope across the stenotic segment. The endoscope is then removed, leaving the wire in situ.
- Balloon positioning: A Trachealator® balloon is advanced over the guidewire. The endoscope is reintroduced alongside the balloon, either in the ipsilateral or contralateral nostril. Under endoscopic guidance, the balloon is advanced into the airway until it is positioned across the stenotic segment.
- Balloon inflation: Once the position is satisfactory, the non-occlusive balloon is inflated gradually to a pressure of up to 6ATM and this is maintained for at least 60 seconds. A 14.5 mm Trachealator® is typically used for subglottic stenosis, with a 16.0 mm balloon reserved for tracheal narrowing - both sizes have a balloon length of 40 mm. The patient remains awake and breathing through the balloon’s central channel, with continuous monitoring of oxygen saturation.
Laser treatment for airway narrowing
Any laser delivered via a flexible fibre system can be used in the office for scar division and granulation tissue removal in the subglottic and tracheal airway. However, Blue Light or KTP laser equipped with both cutting and haemostatic properties, allows controlled ablation of stenotic segments or the creation of radial incisions to release circumferential narrowing. When combined with the use of non-occlusive balloon dilation in the office, laser treatment provides airway expansion and improves lumen patency. In the authors’ practice, TruBlue 445nm (A.R.C. Laser) is routinely used.
"The primary goal of intervention is to restore and maintain airway patency while minimising any adverse impact on voice and swallowing"
Technique
Following adequate topical anaesthesia, a 400 microns flexible laser fibre is introduced through the endoscope’s working channel. Depending on the morphology of the stenosis, radial incisions typically positioned at 12, four, and seven o’clock, forming a ‘Mercedes-Benz’ pattern, are effective at releasing circumferential stenosis (Figure 4).
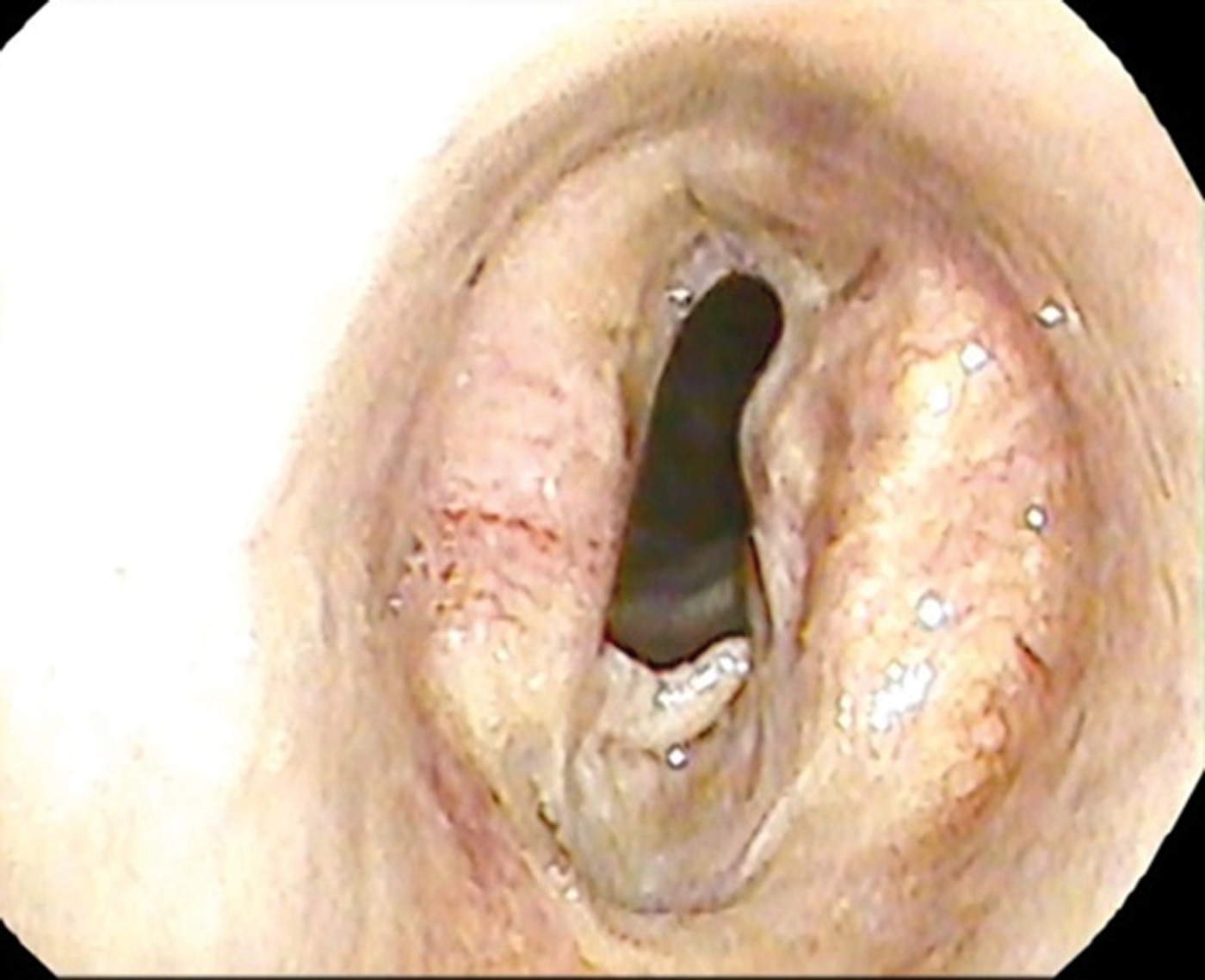
Figure 4: In-office laser ablation to airway stenosis.

Tracheal stenosis in a patient with previous tracheostomy.

In-office TruBlu Laser via a channelled endoscope to stenotic segment.
Bleeding is usually minimal due to the coagulative nature of the laser. Topical adrenaline can be applied to the bleeding site via an epidural catheter passed through the channelled endoscope if necessary. Any bleeding into the tracheobronchial tree is suctioned.
Intralesional steroid injection
Intralesional steroid injections help reduce inflammatory response and slow scar reformation, prolonging the interval between interventions. This technique, traditionally performed under GA, can also be delivered safely in an office setting.
Technique
For subglottic lesions, depending on the site of scar, a 23G needle for instance, bent at ~45°, is introduced through the cricothyroid membrane. Under endoscopic guidance, 1-2 ml of a long-acting steroid (e.g. triamcinolone 10 mg / ml or depomedrone 40 mg / ml) is injected at multiple points around the scar circumference (Figure 5).
Figure 5: Intralesional steroid injection to subglottic stenosis.

Subglottic stenosis.

Intralesional steroid injection with triamcinolone under endoscopic vision.
Post-procedure care
Following in-office airway interventions, all patients are monitored in a dedicated recovery room adjacent to the procedure room by a nursing staff for 30 minutes for signs of bleeding, airway compromise or adverse reactions to local anaesthesia. Vital signs are observed throughout. Nebulised adrenaline (1 ml 1:1000, diluted in 4 ml 0.9% saline) can be used to optimise haemostasis. Simple oral analgesia is often adequate for any post-procedural discomfort. Patients are advised to refrain from eating or drinking until the effects of local anaesthesia subside to minimise aspiration risk. Procedural tolerability is assessed using a visual analogue score adapted from the British Pain Society.
"With growing advances in office-based fibreoptic technology, selected cases of mild to moderate stenosis can now be safely managed in an outpatient setting"
Summary
Office-based management of subglottic and tracheal stenosis is a safe and effective option for carefully selected patients with mild-to-moderate disease. Non-occlusive balloon dilation, laser ablation and steroid injection - used alone or in combination - can optimise airway patency. These in-office approaches circumvent the risks associated with general anaesthesia, facilitate early intervention in recurrent airway stenosis, allow same-day discharge and offer both clinical and cost benefits.
References
1. Wijermars LGM, Hoekstra CEL, Nguyen TTT, et al. New Treatment Strategy for Subglottic Stenosis Using the Trachealator, a Novel Non-occlusive Balloon. Laryngoscope 2022;132(11):2202-5.
2. Hofmeyr R, McGuire J, Park K, et al. Prospective Observational Trial of a Nonocclusive Dilatation Balloon in the Management of Tracheal Stenosis. J Cardiothorac Vasc Anesth. 2022;36(8 Pt B):3008-14.
3. Huang JL, Khalid H, Alvaran KAB, et al. Improving Laryngeal Procedure Workflow: Moving From the Operating Room to the Outpatient Setting. Laryngoscope 2025;135(3):1132-42. S
Declaration of competing interests: None declared.