Search
Login
Search
Subspecialities
Audiology - Adult
Audiology - Diagnostic
Audiology - Paediatric
Auditory Implants
ENT
Genetics
Imaging
Laryngology / Swallowing / Voice
Maxillofacial Surgery
Neurotology
Otology
Paediatrics
Rhinology / Sinus
Rhinoplasty
Skull Base Surgery
Speech and Language Therapy
Thyroid / Parathyroid Surgery
Tinnitus
Vestibular Disorders
Contributors
Articles
News
Events
Product Guide
Login
Search
ENT
Filter by year
2025
2024
2023
2022
2021
2020
2019
2018
2017
2016
2015
2014
2010
Sort by
Newest First
Oldest First
Title: A to Z
Title: Z to A
Developing medical devices for children: opportunities and challenges
Developing an Innovation for ENT – from Idea to Market: how ‘e-i’ did it
Funding your otolaryngology / audiology idea by partnering with the US Department of Defense
The big ask – maintaining the entrepreneurial spirit in academic facial plastic surgery in the USA
Thyroid nodules – time for a rational imaging approach
Thyroid ultrasound elastography: does nodule stiffness predict malignancy?
Radiology and sinus disease: “the ever-evolving landscape”
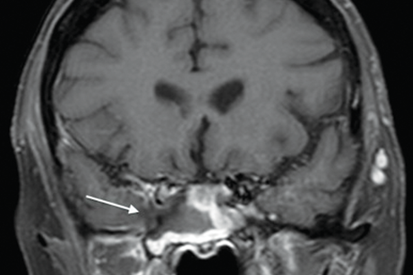
Radiology of referred otalgia
Detecting postoperative cholesteatoma with diffusion weighted magnetic resonance imaging
Imaging in hyperparathyroidism
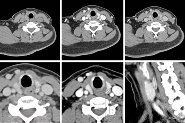
Head and neck cancer and PET-CT
Nuclear heads – and necks
Prev
1
2
3
4
5
6
Next